
Rational approach to sufficient depuration
with minimal set of periodontal instruments
Treatment case by RDH Tatiana Brandt

Introduction
Case for rational approach to sufficient depuration with a minimal set of periodontal instruments
Efficacy of nonsurgical periodontal instrumentation depends on many factors, including gingival inflammation, root anatomy and pain management. However, clinicians’ experience, skills and understanding of periodontal pocket anatomy and defect morphology play a crucial role in the success of subgingival instrumentation. Detailed knowledge of instrument design might also affect technique.
The choice of periodontal instruments for debridement and scaling depends on the location, hardness and composition of tartar, the consistency of adjacent soft tissues, and the topography of the periodontal pocket. Still, it is possible to increase instrument efficiency by selecting appropriate instruments and scaling techniques or better adaptation and movement of instruments.
My choice of hand instrument set will illustrate a professional approach to a timeeffective and rational use of only a few periodontal instruments. The suggestion of instrument set aims to meet individual clinicians’ needs and preferences, and in addition to this, is designed to adjust the choice of instruments to reflect the extent and severity of patients’ diseases.
Working with step-by-step illustration of specific set of instruments will help clinicians to systematize the approach to periodontal instrumentation, give suggestions on how to be more creative in instrument choice and application, make instrument use more beneficial for root sites with concavities, grooves and depressions, and be less time-consuming. Besides, novice clinicians often find it helpful to review a simple instrumentation guide.
It is advisable to perform sub-gingival periodontal hand instrumentation in combination with powered ultrasonic instrumentation, considering that instrument condition and sharpness are critical in providing successful periodontal treatment. My desire is to show, through step-by-step clinical cases, how various instruments are used in practice to produce outstanding treatment results. This periodontal set illustrates treatment case with short explanatory texts alongside the images. I have selected the periodontal set based on size and location of tartar deposits, root topography, and an individual clinician’s preferences together with an idea of a rational approach, without compromising quality.
The choice is still the clinician’s choice. There are many excellent options and other plans for tartar removal that can be developed by experienced dental professionals
Treatment case
Rational approach to sufficient depuration with minimal set of periodontal instruments: Effective instrumentation with LM™ Langer curettes
Text and clinical pictures by RDH Tatiana Brandt, clinical lecturer at School of Oral Health Care, University of Copenhagen
Effective periodontal instrumentation may be achieved by using just a few instruments, provided that the correct
instrumentation technique is performed. There are many combinations of technical depuration solutions with a minimal number of hand instruments, but the clinician’s preferences are the most important factors when choosing the optimal set of instruments. This presented set meets the needs of dental professionals who prefer working with a few instruments on all tooth surfaces and feel comfortable using universal curettes but need better posterior angulation and improved access to root surfaces.

Video
Above you find the treatment case presented on this page as full step-by-step demonstrational video.
PDF document
You can also download the full illustrated case as PDF document.
Clinical characteristics
When planning to remove tartar, some questions need to be answered: What anatomical characteristics present a challenge for this patient? What type and size of tartar is detected? What type of gingival phenotype does the patient have: thin or thick? Which of the periodontal instruments should you select for removing tartar from the front and back teeth?
The present case demonstrates an instrumental approach to patients with the following clinical characteristics:
- need for more comprehensive periodontal treatment
- medium-large deposits, where a powerful stroke might be needed (occasionally burnished calculus)
- first-time appointment or a maintenance patient
- probing depth greater than 5 mm can occur, some furcation involvement
- different topography of pockets with combination of wide and narrow periodontal pockets
- rather thick gingival phenotype.
This case does not take account of periodontal diagnostics.
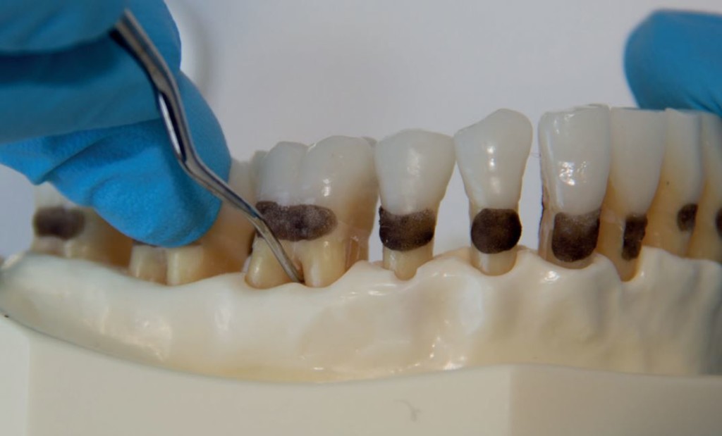
The gingiva has been removed from the typodont in this case images, to provide a view of the working-end of the instruments.
Choice of instruments
My choice for this severity level is the following set of Mini Langer universal curettes and a sickle.
- Mini Langer 1/2: or mandibular back teeth and furcations
- Mini Langer 3/4: or maxillary back teeth and furcations
- Mini Langer 5/6 or front teeth and furcations
- Mini Sickle for fracturing and finishing strokes in proximal spaces

Figure 1 Instruments with uncoated LM-DuraGradeMAX™ super steel: Mini Langer 1/2 281-282MES, Mini Langer 3/4 283-284MES, Mini Langer 5/6 285-286MES, and Mini Sickle 311-312ES.
Related products
This periodontal set meets the needs of an experienced clinician who prefers working with a few instruments on all tooth surfaces and feels more comfortable using universal curettes with 70-80 degrees angulation but needs a longer lower shank for better posterior angulation and improved access to root surfaces in all types of periodontitis patients and patients with gingival recession.
Universal Langer curettes from LM-Dental™ combine
the advantages of curved Gracey curette but have a
more powerful working end. They are the best choice for clinicians, who have trouble generating strokes powerful enough to remove tenacious tartar with a Gracey curette. This can be explained with a wider working end and a different working angulation.
What is a Langer curette? And why does it need more
recognition from dentists and dental hygienists?
Universal curettes are one of the most frequently used instruments, and a favorite among clinicians. They are very logical to use, and are time-saving. This type of curette is “universal” because it can be applied to distal, mesial, facial, and lingual surfaces. Depending on patients’ tooth morphology, they can be adapted both on front and back teeth. In other words, this type of curette is used universally throughout the mouth. The design characteristics of the lower shank and bending angulation determine the instruments selected for a particular task. Selecting a universal curette for removal of moderate and sometimes residual deposits, needs to have its design characteristics, such as length of lower shank and bending angulation in the shank, taken into consideration.
.
Langer curettes with extended lower shank and mini model working end are universal curettes. The Langer curette may be thought of as a hybrid design that combines the versatility of a universal curette with the advantages of area-specific Gracey curettes. The Langer curette has a universal blade with two cutting edges and a long, complex, functional shank design like the Gracey curette. This combination design not only allows a Langer curette to be used on all tooth surfaces of a tooth and provides improved access to root surfaces, but it also allows more powerful debridement strokes to be generated as needed in the presented case. Mini Langer curettes are quite rigid, but not as rigid as Rigid Gracey curettes. Their rather short and narrow working blades can be very useful in scaling furcation areas.
Use of Universal curettes in deep periodontal pockets
greater than 5 mm requires a greater understanding of angulation and stroke movement beneath gingiva. This point of view will be explained in this case.
A set of three Langer curettes (Mini Langer 1/2, 3/4 and 5/6) is needed to instrument the entire dentition. Mini sickle is provided for better debridement of proximal spaces. The long lower shank of Langer curettes is an excellent choice for removing deposits in deep pockets. Clinicians must slightly tilt the lower shank toward the tooth surface to achieve the correct 70-80 degrees angulation of the face-to-tooth surface.
Effective instrumentation with Langer curettes
It can be easier to start debridement with Langer curettes in a lower jaw scaling the third and fourth quadrant using a Mini Langer 1/2 for vertical strokes on the distal and mesial surfaces. Note that the inner cutting edge closer to a handle is used to instrument the distal surfaces. Remember, that the correct face-to-tooth surface angulation is 70-80 degrees. (Figures 2a, 2b, 2c)
Note that the outer cutting edge, facing away from the instrument handle, is used to instrument the mesial surfaces, and that the correct face-to-tooth surface angulation is 70-80 degrees. (Figure 2b).



The outer cutting edges are used to instrument the facial and lingual surfaces. Horizontal strokes are used at the line angles and midlines of the facial or lingual surfaces of the back teeth (Figures 3a, 3b, 3c).



Furcation areas can be scaled with a combination of two types of movement: vertical and horizontal. Note the different fulcrum position and application of different lateral pressure using vertical and horizontal strokes. It is advisable to use very light strokes in the bottom and ceiling of the furcation area (Figures 4c, 4d, 6d), occasionally using a diamond file for extra polishing.

Figure 4a Scaling mesial and distal aspects of root in furcation area with Mini Langer 1/2 and bottom of furcation area

Figure 4b Scaling mesial and distal aspects of root in furcation area with Mini Langer 1/2 and bottom of furcation area

Figure 4c Scaling mesial and distal aspects of root in furcation area with Mini Langer 1/2 and bottom of furcation area

Figure 4d Scaling mesial and distal aspects of root in furcation area with Mini Langer 1/2 and bottom of furcation area
Next, we come to the upper jaw scaling the first and second posterior quadrant with a Mini Langer 3/4. This instrument is used for vertical strokes on the distal and mesial surfaces. Note that the inner cutting edge closer to a handle is used to instrument the distal surfaces and the proper angulation of 70-80 degrees. The outer cutting edge is used to instrument the facial, lingual, and mesial surfaces. (Figures 5a, 5b)

Figure 5a Scaling posterior distal and mesial surfaces with Mini Langer 3/4 (vertical strokes)

Figure 5b Scaling posterior distal and mesial surfaces with Mini Langer 3/4 (vertical strokes)
The same movement and angulation are used for scaling the distal and mesial aspects of roots in furcation areas (Figures 6a, 6b). Vertical and horizontal strokes are used like in a lower jaw. It is recommended to use very light strokes in the bottom of the furcation area (Figure 6d), occasionally using a diamond file for extra polishing.




Figures 6a, 6b, 6c, 6d Scaling mesial and distal aspects of roots in furcation areas with Mini Langer 3/4 and bottom of furcation area
Horizontal strokes are used at the line angles and the midlines of the facial or palatal surfaces of back teeth (Figures 7a, 7b). Note that the inner edge of Mini Langer 3/4 can be easier to adapt to the palatal side.

Figures 7a Scaling the lingual and facial surfaces of back teeth with Mini Langer 3/4 (horizontal strokes)

Figures 7b Scaling the lingual and facial surfaces of back teeth with Mini Langer 3/4 (horizontal strokes)
Debridement of front teeth in the upper and lower jaws begins from the left canine and ends with the right canine. Note that when using a Mini Langer 5/6 curette on front teeth, scaling of front teeth starts with vertical strokes on mesial and distal surfaces and horizontal strokes on the midlines of the facial or lingual surfaces of the front teeth if necessary. (Figures 8a, 8b)

Figures 8a Facial, palatal, mesial and distal surfaces of front teeth are instrumented with Mini Langer 5/6.

Figures 8b Facial, palatal, mesial and distal surfaces of front teeth are instrumented with Mini Langer 5/6
As the toe of universal curettes is wider than the pointed tip of a scaler, it is more difficult to adapt to proximal surfaces. Additionally, a common scaling mistake occurs when scaling strokes with mini-model instruments do not extend past the midline of the proximal surfaces. It is therefore advisable to finish instrumentation by doing some vertical proximal detecting evaluating strokes on proximal root surfaces and some scaling strokes under the contact points with a sickle scaler. Sickle is very good for removing tenacious tartar because of its strong working end and pointed tip, which provides a good access to proximal surfaces. Although the sickle is not recommended for use on root surfaces, it is excellent for finishing detective strokes and removing small pearls of tartar on the middle part of distals and mesials. (Figures 9a, 9b). In this case I have chosen to use Mini Sickle. Alternatively, the clinician can choose Sickle LM23, which has a shorter blade and longer lower shank than Mini Sickle.


Figures 9a, 9b Finishing and detecting strokes with Mini Sickle
Your periodontal instrumentation can be finished perfectly by adopting Mini Sickle´s tip third against the tooth surface pointing down in an apical direction and doing tiny 1-2 mm, nearly detecting horizontal strokes in very shallow pockets and just below the ECJ (Enamel-Cement Junction). Mini Sickle is also excellent for finishing evaluating strokes in front and back proximal spaces, where the working end of Gracey curettes is too wide. Great care must be taken with soft root surfaces when using Mini Sickle sub-gingivally or under the ECJ. Only very light strokes may be applied. It is not appropriate to apply too much lateral pressure, especially if your instrument is sharp. For this reason, the author prefers working with LM Sharp Diamond™ coated sharpen-free Mini Sickle. Patients generally appreciate this type of finishing.
To provide a better spooling effect and to remove the tiniest deposits at the bottom of a pocket, a slim periodontal ultrasonic tip, preferably the tip 40H, can be additionally used following evaluating with an Explorer 11-12.
Clinician

Tatiana Brandt
Text and clinical pictures by RDH Tatiana Brandt, clinical lecturer at School of Oral Health Care, University of Copenhagen
About Me:
- Tatiana Brandt, RDH Med (Master Degree in Health Education and Health Promotion)
- I have been practicing clinical dental hygiene for 17 years, and worked for the Department of Odontology and Periodontology at the Copenhagen School of Dentistry.
- Board member of Danish Society of Periodontology.
- For the last 10 years, I have been clinical lecturer at the School of Oral Health Care, Faculty of Health and Medical Science, University of Copenhagen.
- Speaker and course provider for LM-Dental™ and Plandent.
- My main interest is advanced periodontal instrumentation, ergonomics and prevention of MSD in hands and wrists.



